Ο ενδοσκοπικός υπέρηχος (Endoscopic Ultrasound – EUS) είναι μια ελάχιστα επεμβατική ενδοσκοπική διαγνωστική και θεραπευτική μέθοδος του πεπτικού συστήματος καθώς και νοσημάτων του θώρακος. Διενεργείται με την χρήση ειδικού ενδοσκοπίου με δυνατότητα εκτέλεσης υπερήχου με σκοπό την παραγωγή υπερηχοτομογραφικών εικόνων των τοιχωμάτων του γαστρεντερικού σωλήνα, του ήπατος, του σπληνός, του παγκρέατος, της χοληδόχου κύστεως, των χοληφόρων, του μεσοθωρακίου καθώς και λεμφαδένων.
Με τη βοήθεια του EUS είναι δυνατή η λήψη υγρού ή ιστοτεμαχίου για κυτταρολογική (Fine Needle Aspiration – FNA) ή ιστολογική (Fine Needle Biopsy – FNB) εξέταση ενώ είναι δυνατή η παροχέτευση ενδοκοιλιακών συλλογών όπως για παράδειγμα ψευδοκύστεων παγκρέατος. Το ενδοσκοπικό υπερηχογράφημα διενεργείται από Γαστρεντερολόγους με εξειδίκευση στους υπερήχους Γαστρεντερολογίας πιστοποιημένη από το Υπουργείο Υγείας.

 

Ενδοσκοπικός υπέρηχος

Η ΔΙΑΓΝΩΣΗ

Ο ενδοσκοπικός υπέρηχος συμβάλλει στη διαγνωστική προσέγγιση πληθώρας νοσημάτων όπως

  • Κακοήθειες οισοφάγου, στομάχου, ορθού, παγκρέατος, φύματος Vater
  • Οισοφάγος Barrett
  • Νευροενδοκρινικοί όγκοι πεπτικού συστήματος
  • Υποεπιθηλιακοί όγκοι πεπτικού συστήματος (πχ στρωματικοί όγκοι (GIST), λειομυώμα)
  • Λεμφώματα
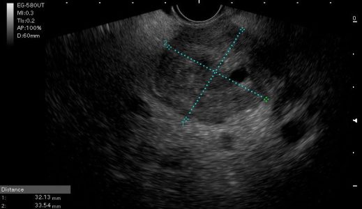
  • Παγκρεατικές κύστεις
  • Χρόνια παγκεατίτιδα
  • Χοληδοχολιθίαση
  • Κακοήθειες μεσοθωρακίου
  • Σαρκοείδωση

Οι συνηθέστερες ενδείξεις διενέργειας ενδοσκοπικού υπερήχου είναι τα συμπαγή και κυστικά νεοπλάσματα του παγκρέατος όπου προσφέρεται η δυνατότητα παρακέντησης για λήψη υγρού ή ιστολογικού υλικού καθώς και οι υποεπιθηλιακοί όγκοι του πεπτικού σωλήνα. Τέλος, ο ενδοσκοπικός υπέρηχος συμβάλλει στη σταδιοποίηση κακοηθειών, στην εκτίμηση εξαιρεσιμότητας όγκων, στην καθοδήγηση παροχετεύσεων ενδοκοιλιακών συλλογών, στη θεραπευτική στοχευμένη χορήγηση φαρμάκων, στη νευρόλυση του κοιλιακού πλέγματος και στο θερμοκαυτηριασμό (RFA) παγκρεατικών όγκων.

Ενδοσκοπικός υπέρηχος

Η ΔΙΑΔΙΚΑΣΙΑ

Ο EUS διενεργείται σε εξωτερική βάση και διαρκεί 30-60 λεπτά αναλόγως της ένδειξης. Ο ασθενής πρέπει να είναι νηστικός ενώ σε περίπτωση διενέργειας FNA/FNB θα πρέπει να διακόψει την θεραπεία με φάρμακα που επηρεάζουν τον πηκτικό μηχανισμό πχ αντιαιμοπεταλιακά. Η ενδοσκόπηση γίνεται με ελαφρά μέθη και είναι ανώδυνη.
Στη συντριπτική πλειοψηφία οι ασθενείς επιστρέφουν σπίτι τους την ίδια ημέρα. Το αποτέλεσμα της ενδοσκόπησης παραλαμβάνεται από τον ασθενή την ίδια ημέρα ενώ τα αποτελέσματα των ιστολογικών/κυτταρολογικών εξετάσεων σε διάστημα λίγων ημερών. Οι επιπλοκές της μεθόδου (αιμορραγία, παγκρεατίτιδα, λοίμωξη) είναι πολύ σπάνιες και αφορούν λιγότερο από 1% των επεμβάσεων.


Ο ΕΞΟΠΛΙΣΜΟΣ

Ο Ενδοσκοπικός υπέρηχος πραγματοποιείται με τη χρήση ειδικών ενδοσκοπίων τα οποία διαθέτουν κεφαλή υπερήχων ενσωματωμένη στο άκρο τους. Ανάλογα με την ένδειξη επιλέγεται το πιο κατάλληλο ενδοσκόπιο (radial ή linear). Η διαφορά των δύο ενδοσκοπίων έγκειται στον τρόπο λήψης της υπερηχοτομογραφικής εικόνας αλλά και στη δυνατότητα ή όχι λήψης ιστολογικού υλικού (linear).
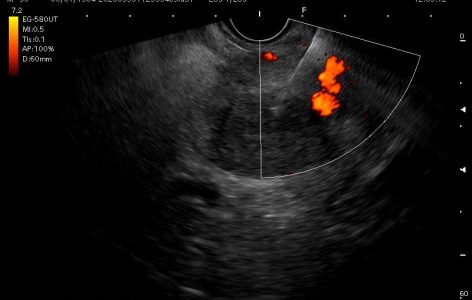
Για το λόγο αυτό τα τελευταία χρόνια χρησιμοποιούνται σχεδόν αποκλειστικά τα linear ηχοενδοσκόπια. Μέσω ειδικού επεξεργαστή αναπαράγονται υπερηχοτομογραφικές εικόνες ενώ μέσω του συστήματος  Doppler είναι δυνατή η ανίχνευση της ροής του αίματος και συνεπώς ο εντοπισμός αγγειακών δομών με αποτέλεσμα να είναι δυνατή η ασφαλής στόχευση για παρακέντηση όγκων ή κυστικών αλλοιώσεων.
Εξάλλου, με τη χρήση ειδικών λογισμικών είναι δυνατή η διενέργεια ελαστογραφίας καθώς και υπερήχου με χρήση σκιαστικών ουσιών με σκοπό την πληρέστερη απεικόνιση των σημείων ενδιαφέροντος. Οι  λεπτές βελόνες που χρησιμοποιούνται για τη λήψη κυτταρολογικού ή ιστολογικού υλικού, προσαρμόζονται στο ενδοσκόπιο και μέσω ειδικού καναλιού που διαθέτει το ενδοσκόπιο προωθούνται στο σημείο ενδιαφέροντος.

Ενδοσκοπικός υπέρηχος

ΣΥΜΠΕΡΑΣΜΑ

Ο ενδοσκοπικός υπέρηχος είναι μια σχετικά νέα, διαρκώς εξελισσόμενη ενδοσκοπική μέθοδος διάγνωσης και θεραπευτικής παρέμβασης σε πληθώρα νοσημάτων του πεπτικού συστήματος. Διενεργείται υπό ήπια μέθη και είναι μια ανώδυνη ενδοσκοπική εξέταση. Απαιτεί εξειδίκευση και πιστοποίηση από το Υπουργείο Υγείας του Γαστρεντερολόγου που το διενεργεί και κατάλληλο εξοπλισμό σε νοσοκομειακό περιβάλλον.

 

Ο Λαυρέντιος Παπαλαυρέντιος είναι Γαστρεντερολόγος, Διδάκτωρ του Αριστοτέλειου Πανεπιστημίου Θεσσαλονίκης, μετεκπαιδευθείς στη Γαστρεντερολογική Κλινική του Πανεπιστημιακού Νοσοκομείου των Βρυξελλών ULB ERASME, πιστοποιημένος Γαστρεντερολόγος στη διενέργεια Ενδοσκοπικού Υπερήχου από το Υπουργείο Υγείας, Αντιπρόεδρος του Τμήματος Βορείου Ελλάδος της Ελληνικής Γαστρεντερολογικής Εταιρείας, Μέλος της European Society of Gastrointestinal Endoscopy και του European Group for Endoscopic Ultrasonography και  Συνεργάτης του Ιατρικού Διαβαλκανικού Κέντρου.

Ενδοσκοπικός υπέρηχος


INFO
!

Dr Λαυρέντιος Γ. Παπαλαυρέντιος, MD, PhD

Γαστρεντερολόγος

www.papalavrentios-gastrenterologos.gr