*Του Ευάγγελου Ν. Περδικάκη MD, MSc, PhD, επεμβατικού ακτινολόγου
Η Επεμβατική Ακτινολογία είναι μια σχετικά νέα κλινική υποειδικότητα της Ακτινολογίας. Με τη χρήση ακτινολογικών μηχανημάτων τελευταίας τεχνολογίας μπορούμε να εφαρμόσουμε σύγχρονες διαγνωστικές και θεραπευτικές τεχνικές με ελάχιστα επεμβατικό τρόπο στην αντιμετώπιση του καρκίνου. Είναι σημαντικό για τους ογκολογικούς ασθενείς και τους θεράποντες ιατρούς τους να έχουν στη διάθεσή τους όλες τις δυνατές επιλογές που τους προσφέρει η σύγχρονη ελάχιστα επεμβατική Ιατρική. Άλλωστε, οι εφαρμογές της Επεμβατικής Ακτινολογίας στην καθημερινή κλινική πράξη είναι πολλαπλές.
Η πρόοδος της Επεμβατικής Ακτινολογίας έγινε εφικτή με την αλματώδη εξέλιξη της απεικονιστικής τεχνολογίας (ψηφιακή, 3D-τρισδιάστατη, πολυεπίπεδη απεικόνιση). Μέσα από τη μελέτη των απεικονιστικών εξετάσεων (ακτινογραφιών, υπερήχων, εξετάσεων πολυτομικού αξονικού τομογράφου και μαγνητικής τομογραφίας) και υπό συνεχή και άμεση ακτινολογική καθοδήγηση οδηγούνται μικροσκοπικά χειρουργικά εργαλεία, είτε ενδαγγειακά είτε διαδερμικά, σε διάφορα όργανα-στόχους, προκειμένου να επιτευχθεί το επιθυμητό διαγνωστικό ή θεραπευτικό αποτέλεσμα. Οι κίνδυνοι από τις επεμβάσεις της Επεμβατικής Ακτινολογίας είναι πολύ λιγότεροι συγκριτικά με άλλες μείζονες επεμβατικές χειρουργικές μεθόδους και συνήθως δεν χρειάζεται γενική αναισθησία, αλλά μόνο τοπική. Ως αποτέλεσμα οι επιπλοκές και ο μετεπεμβατικός πόνος είναι σημαντικά μειωμένοι, ενώ και ο χρόνος επιστροφής του ασθενούς στις καθημερινές ασχολίες του είναι πολύ σύντομος.
Διάγνωση
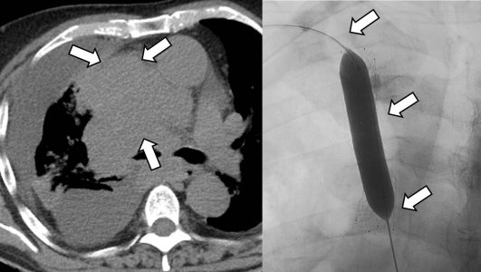
Η Επεμβατική Ακτινολογία στη «φαρέτρα» του σύγχρονου ογκολόγου προσφέρει άμεσα αποτελέσματα σε τρεις πρωταρχικούς άξονες: Πρώτον στη διάγνωση του καρκίνου, δεύτερον στην επικουρική θεραπεία της νόσου και τρίτον στην ανακούφιση του ογκολογικού ασθενούς από τα συμπτώματα της νόσου του. ‘Εχοντας περάσει στην εποχή της εξατομικευμένης αντικαρκινικής θεραπείας, είναι απαραίτητο να διαγνώσουμε αρχικά τον καρκίνο σε υποκλινικό ακόμη επίπεδο, εάν γίνεται, και με στοχευμένες ογκολογικές θεραπείες να τον αντιμετωπίσουμε επιτυχώς. Στην προσπάθεια αυτή η λήψη κατευθυνόμενων βιοψιών με τον ελάχιστα επεμβατικό τρόπο επιτρέπει την ιστολογική, μοριακή και γονιδιακή ταυτοποίηση των καρκινικών κυττάρων, ώστε να εφαρμοστεί το κατάλληλο θεραπευτικό πρωτόκολλο.
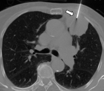
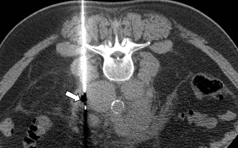
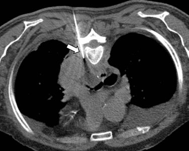
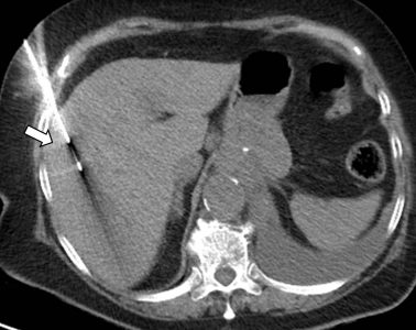
Η διαδερμική βιοψία είναι μια ελάχιστα επεμβατική μέθοδος λήψης υλικού από τον όγκο για κυτταρολογική και ιστολογική εξέταση από εστιακές αλλοιώσεις του ήπατος, του πνεύμονα, του μαστού, του νεφρού κλπ. Συνιστάται από τον κλινικό ιατρό ανάλογα με το είδος και το μέγεθος της βλάβης και πραγματοποιείται με ασφάλεια από επεμβατικό ακτινολόγο συνήθως με την καθοδήγηση αξονικού τομογράφου ή υπερήχων. Στη σύγχρονη ογκολογική θεραπεία, όπου γίνεται προσπάθεια καταπολέμησης του καρκίνου σε μοριακό επίπεδο, κρίνεται αναγκαία η ακριβής ιστολογική ταυτοποίηση του όγκου, ώστε να εφαρμοσθεί εξατομικευμένη θεραπεία για το βέλτιστο αποτέλεσμα.




Επικουρική θεραπεία
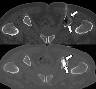
Σε έναν δεύτερο πυλώνα ογκολογικής θεραπείας η Επεμβατική Ακτινολογία μπορεί να εφαρμόσει τοπικοπεριοχική θεραπεία καταστροφής των καρκινικών κυττάρων με τεχνικές είτε διαδερμικής κατάλυσης (Ablation) είτε διαδερμικού ενδαγγειακού χημειοεμβολισμού (TACE). Στην περίπτωση της κατάλυσης μπορεί να εφαρμοστεί σε καρκινώματα του ήπατος, του νεφρού, των οστών και των όγκων μαλακών μορίων και υπό προυποθέσεις στον πνεύμονα. Παθοφυσιολογικά βασίζεται στην τοπική καταστροφή των καρκινικών κυττάρων με τη δημιουργία ιδιαίτερα υψηλών θερμοκρασιών νέκρωσης εντός του όγκου. Αυτό επιτυγχάνεται με τοποθέτηση ειδικών βελονών-ηλεκτροδίων εντός του όγκου υπό ακτινολογική καθοδήγηση. Τα ηλεκτρόδια αυτά παράγουν υψηλή θερμοκρασία είτε με τη βοήθεια ραδιοσυχνοτήτων (RF ablation) είτε με τη βοήθεια μικροκυμάτων (MW ablation) και προκαλούν πηκτική νέκρωση των καρκινικών κυττάρων χωρίς να επηρεάζουν τα φυσιολογικά κύτταρα.
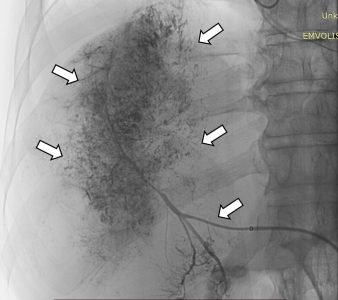
Ο χημειοεμβολισμός είναι μια επικουρική μέθοδος τοπικής θεραπείας για πρωτοπαθή και δευτεροπαθή νεοπλάσματα του ήπατος. Στόχος του επεμβατικού ακτινολόγου είναι η τοπική έγχυση χημειοθεραπευτικού σε κλάδους της ηπατικής αρτηρίας, ώστε να επιτευχθούν υψηλές συγκεντρώσεις τοπικά στην ηπατική εξεργασία χωρίς να προκαλούνται συστηματικές επιπλοκές τοξικότητας του χημειοθεραπευτικού. Επιπλέον, προκαλείται τοπική ισχαιμία-νέκρωση στην περιοχή του όγκου από τα εμβολικά υλικά-μικροσφαιρίδια εμβολισμού, χωρίς να επηρεάζεται το φυσιολογικό ηπατικό παρέγχυμα.
Ο χημειοεμβολισμός έχει καθιερωθεί ως θεραπεία εκλογής στην περίπτωση του ηπατοκυτταρικού καρκινώματος. Ενδείκνυται επίσης σε ηπατικές μεταστάσεις από νευροενδοκρινείς όγκους, καρκίνο παχέος εντέρου και μελάνωμα, σε συνδυασμό με συστηματική χημειοθεραπεία, της οποίας ενισχύει και βελτιώνει τα αποτελέσματα. Ενδείξεις αποτελούν επίσης το χολαγγειοκαρκίνωμα και οι μεταστάσεις από καρκίνωμα νεφρού και σαρκώματα μαλακών μορίων. Οι περισσότεροι ασθενείς μπορούν να επιστρέψουν στο σπίτι τους μία ημέρα μετά τη θεραπεία.


Ανακούφιση συμπτωμάτων
Τέλος, σε ένα τρίτο επίπεδο προσφοράς στον ογκολογικό ασθενή η Επεμβατική Ακτινολογία μπορεί να συνεισφέρει σημαντικά στην ανακούφιση από συμπτώματα της νόσου. Η διατήρηση της ποιότητας ζωής του ασθενούς που πάσχει από καρκίνο είναι πλέον αναπόσπαστο στοιχείο της σύγχρονης ογκολογικής θεραπείας. Η αντιμετώπιση, για παράδειγμα, του καρκινικού πόνου και των πιθανών επιπλοκών του όγκου περιλαμβάνει μια σειρά από ελάχιστα παρεμβατικές τεχνικές με τις οποίες επιτυγχάνεται η ανακούφιση του ασθενούς. Η Επεμβατική Ακτινολογία διαθέτει μια πληθώρα θεραπευτικών τεχνικών που σκοπό έχουν να προσφέρουν ποιοτική βελτίωση της ζωής και των σχέσεων τόσο των ογκολογικών ασθενών όσο και των οικογενειών τους.


INFO!
Ευάγγελος Ν. Περδικάκης MD, MSc, PhD
Επεμβατικός Ακτινολόγος
Συνεργάτης Euromedica Γενική κλινική Θεσσαλονίκης