Τι είναι η ολική αρθροπλαστική και πώς συμβάλλει στην ποιότητα ζωής των ασθενών που ταλαιπωρούνται από χρόνιο πόνο στις αρθρώσεις τους; Ο ορθοπαιδικός χειρουργός, Ηλίας Αλαφροπάτης, λύνει όλες τις απορίες για την ολική αθροπλαστική.

 

Είναι η ολική αρθροπλαστική μια εγχείρηση που γίνεται μόνο στο γόνατο και το ισχίο;

Η ολική αρθροπλαστική του γόνατος και του ισχίου είναι εγχειρήσεις που έχουν προσφέρει σε εκατομμύρια ανθρώπους πλήρη αντιμετώπιση συμπτωμάτων και τεράστια βελτίωση στην ποιότητα ζωής  με μικρή διάρκεια νοσηλείας και νοσηρότητα.

Όμως, η ολική αρθροπλαστική μπορεί να λύσει προβλήματα παθολογικών καταστάσεων και σε μεγάλες αρθρώσεις του άνω άκρου, όπως ο ώμος και ο αγκώνας. Ωστόσο, αυτό δεν έχει επικοινωνηθεί στο ευρύ κοινό των ασθενών μας και οι εγχειρήσεις αυτές μόλις τα τελευταία χρόνια αρχίζουν να αυξάνονται. Κι αυτό παρότι ολικές αρθροπλαστικές του ώμου και του αγκώνα  πραγματοποιούνται εδώ και δεκαετίες με αποτελέσματα συγκρίσιμα σε επιτυχία με τις άλλες ολικές αρθροπλαστικές.

Ολική
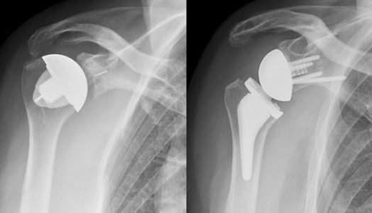
Ολική αρθροπλαστική ώμου (ορθόδρομη και ανάστροφη)


Πότε γίνεται ολική αρθροπλαστική στον ώμο;

Ο ώμος είναι μια από τις μεγαλύτερες αρθρώσεις στο σώμα, ουσιαστικής σημασίας για τη λειτουργία του άνω άκρου, αλλά και ολόκληρου του σώματος. Μοιραία μπορεί να προσβληθεί από οστεοαρθρίτιδα, τη «νόσο της φθοράς» των αρθρώσεων, αλλά και από άλλες παθολογικές καταστάσεις, όπως οι ρευματοπάθειες ή οι χρόνιες τενοντοπάθειες. Δεν είναι λίγες ακόμη οι περιπτώσεις που η άρθρωση του ώμου μπορεί να υποστεί καταστροφική βλάβη μετά από κάποιο κάταγμα, γεγονός αρκετά συχνό σε ηλικιωμένους ασθενείς με συνυπάρχουσα οστεοπόρωση.

Ολική
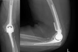
Ολική αρθροπλαστική αγκώνα

Μέχρι πρόσφατα ασθενείς με τέτοιες βλάβες ήταν αναγκασμένοι να υποστούν τις οδυνηρές συνέπειες της χρονιάς πάθησης ή του τραυματισμού τους. Ωστόσο, η ολική αρθροπλαστική του ώμου (ορθόδρομη και ανάστροφη) έχει πλέον καθιερωθεί ως μέθοδος θεραπείας με εντυπωσιακά αποτελέσματα. Σε αυτή την εγχείρηση αντικαθίστανται οι αρθρούμενες επιφάνειες των οστών του ώμου (κεφαλή βραχιονίου και ωμογλήνη ωμοπλάτης), ώστε να επανέλθει η λειτουργία του σχεδόν στο φυσιολογικό. Είναι μάλιστα μια εγχείρηση που έχει τεράστια αύξηση στον αριθμό ασθενών που υποβάλλονται σε αυτήν, κυρίως ασθενών  με κατάγματα του ώμου, οι οποίοι σε άλλη περίπτωση θα έπρεπε απλώς να αφεθούν στην τύχη τους.


Πότε επιλέγεται η ολική αρθροπλαστική του αγκώνα;

Ο αγκώνας είναι η άρθρωση που ενώνει το μπράτσο με τον πήχη μας, άρθρωση σημαντική για την καθημερινή δραστηριότητα μας ακόμα και για απλές πράξεις, όπως είναι το να κουβαλήσουμε μια τσάντα. Ευτυχώς δεν προσβάλλεται συχνά από καταστροφική οστεοαρθρίτιδα. Όμως είναι από τις αρθρώσεις που προσβάλει συχνά -περίπου στο 20% των πασχόντων- η ρευματοειδής αρθρίτιδα, μια αρθρίτιδα αυτοάνοσης αιτίας. Είναι επίσης μια άρθρωση επιρρεπής σε συντριπτικά κατάγματα ανεπίδεκτα χειρουργικής θεραπείας σε οστεοπορωτικούς ασθενείς.

Μέχρι πριν από λίγες δεκαετίες μια ρευματοπάθεια ή ένα κάταγμα στην περιοχή του αγκώνα θα είχε ως αποτέλεσμα μόνιμη αναπηρία ή χρόνιο πόνο και δυσλειτουργία. Όμως πλέον μπορεί να γίνει αντικατάσταση της άρθρωσης με μηχανικά μέρη που εξυπηρετούν πλήρως τη φυσιολογική λειτουργία του αγκώνα. Η αύξηση του αριθμού τέτοιων επεμβάσεων σε ηλικιωμένα άτομα με συντριπτικά κατάγματα του αγκώνα είναι εντυπωσιακή.

 

Στις μέρες μας όλοι έχουμε στο περιβάλλον μας κάποιον που έχει υποβληθεί σε αρθροπλαστική. Σε ποιες αρθρώσεις κυρίως;

Συνήθως στο γόνατο ή το ισχίο. Οι εγχειρήσεις αυτές έχουν καθιερωθεί στη συνείδηση των ασθενών μας. Και στη συντριπτική πλειοψηφία οι ασθενείς που έχουν υποβληθεί σε αυτές εμφανίζουν εντυπωσιακή βελτίωση μετά την επέμβαση. Ωστόσο, τα όρια της ορθοπαιδικής δεν εξαντλούνται στις αρθρώσεις του κάτω άκρου.

Πλέον είναι ασφαλές και σίγουρο να πούμε ότι η ολική αρθροπλαστική μπορεί να λύσει προβλήματα των αρθρώσεων του ώμου και του αγκώνα με την ίδια επιτυχία και ευκολία, όπως και σε άλλες αρθρώσεις. Μάλιστα, μπορεί να δώσει λύση σε παθολογικές καταστάσεις ή τραυματισμούς που διαφορετικά θα μας ταλαιπωρούσαν για μια ζωή.

Το καλύτερο επομένως που έχουμε να κάνουμε, αν ταλαιπωρούμαστε από χρόνιο πόνο ή αρθρίτιδα στον ώμο και στον αγκώνα είναι να συζητήσουμε το ενδεχόμενο μιας τέτοιας εγχείρησης με τον γιατρό μας.

 

Ολική

INFO!

Ηλίας Αλαφροπάτης
Ορθοπαιδικός Χειρουργός