*Του Δημήτρη Γεωργιάννου, MD, FRCS, Γενικού Αρχίατρου-Ορθοπαιδικού Χειρουργού
Τι είναι η αρθρίτιδα του ισχίου;
Αρθρίτιδα είναι η παθολογική κατάσταση στην οποία καταστρέφεται ο αρθρικός χόνδρος που καλύπτει τα οστά μέσα στις αρθρώσεις, με συνέπεια τα οστά πρακτικά να «τρίβονται» μεταξύ τους, προκαλώντας αφενός έντονο πόνο κατά τη διάρκεια των κινήσεων, στην ηρεμία και τον ύπνο, αφετέρου περιορισμό των κινήσεων της άρθρωσης, με δυσκολίες στην καθημερινότητα (π.χ αδυναμία να σκύψουν για να βάλουν τις κάλτσες τους).
Ποια τα αίτια της αρθρίτιδας;
Στο ισχίο οι πιο συχνές μορφές αρθρίτιδας που οδηγούν τον ασθενή στον ορθοπαιδικό χειρουργό και χρήζουν θεραπείας είναι:
Οστεοαρθρίτιδα: είναι η πιο κοινή μορφή αρθρίτιδας στο ισχίο. Πρόκειται για μια χρόνια, εκφυλιστικού τύπου πάθηση, που εμφανίζεται κυρίως σε άτομα άνω των 50 ετών. Ο χόνδρος του ισχίου φθείρεται σταδιακά και τα οστά αρχίζουν να έρχονται σε επώδυνη επαφή μεταξύ τους.
Ρευματοειδής αρθρίτιδα: συστηματική νόσος η οποία εκδηλώνεται πολύ συχνά με καταστροφή της άρθρωσης του ισχίου και του γόνατος.
Μετατραυματική αρθρίτιδα: αναπτύσσεται μετά από τραυματισμό ή κάταγμα στο ισχίο.
Αρθρίτιδα σε έδαφος συγγενούς δυσπλασίας του ισχίου (ΣΕΙ): οφείλεται στην εκ γενετής μη φυσιολογική επικέντρωση της κεφαλής του μηριαίου μέσα στην κοτύλη (υπεξάρθρημα, εξάρθρημα ισχίου).


Αρθρίτιδα από οστεονέκρωση: η καταστροφή της άρθρωσης οφείλεται σε νέκρωση του οστού εξαιτίας χρήσης κορτιζόνης, αιματολογικών ή αυτοάνοσων νοσημάτων.
Ποια είναι η θεραπεία της αρθρίτιδας;
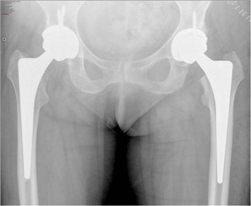
Η ολική αρθροπλαστική ισχίου αποτελεί σήμερα μια ασφαλή και αποτελεσματική επέμβαση που ανακουφίζει από τον πόνο και επιτρέπει στον ασθενή την επιστροφή στην φυσιολογική του ζωή.
Τι είναι η Ολική Αρθροπλαστική Ισχίου;
Στην ολική αρθροπλαστική ισχίου αντικαθιστούμε τις κατεστραμμένες αρθρικές επιφάνειες με μεταλλικές προθέσεις τιτανίου, που επιτρέπουν πλήρεις και ανώδυνες κινήσεις της άρθρωσης. Η εφαρμογή των πλέον σύγχρονων μεθόδων μικρής παρεμβατικότητας (MIS) και αποθεραπείας εγγυάται τα καλύτερα δυνατά αποτελέσματα με την άμεση μετεγχειρητική κινητοποίηση, την ολιγοήμερη παραμονή στην κλινική και την ταχύτερη επαναφορά του ασθενούς στις επιθυμητές καθημερινές του δραστηριότητες.


Τι είναι η MIS τεχνική και ποια τα πλεονεκτήματα της;
Είναι τεχνική ολικής αρθροπλαστικής μικρής παρεμβατικότητας (Minimally Invasive Surgery). Χαρακτηρίζεται όχι απλά από την μικρότερη τομή του δέρματος, αλλά και την μικρότερη δυνατή διατομή των υποκείμενων ιστών και μυών. Αυτό έχει ως αποτέλεσμα την αποφυγή μυικών βλαβών, την μικρότερη διάρκεια του χειρουργείου (λιγότερο από 1 ώρα), την αποφυγή μετάγγισης αίματος (στην πλειοψηφία των ασθενών), την διατήρηση των επιπλοκών στο χαμηλότερο επίπεδο και την γρηγορότερη κινητοποίηση και αποκατάσταση του ασθενούς. Σε συνδυασμό με τις προθέσεις τιτανίου, επιτυγχάνεται βιωσιμότητα της νέας άρθρωσης πάνω από 20-25 χρόνια στο 95% των περιστατικών.
Πόσες είναι οι μέρες νοσηλείας και τι μπορώ να κάνω μετά;
Mε την χρήση τεχνικών MIS (μικρής παρεμβατικότητας) οι ασθενείς παραμένουν στην κλινική μόλις για 2 ημέρες (στην συντριπτική πλειοψηφία). Περπατούν λίγες ώρες μετά το χειρουργείο με πλήρη φόρτιση του χειρουργημένου σκέλους. Την επόμενη μέρα μπορούν να ανέβουν και να κατέβουν σκάλες με πατερίτσες, τις οποίες αφήνουν συνήθως στις 15 μέρες.
Έχω κάνει ολική αρθροπλαστική στο παρελθόν που πλέον είναι επώδυνη ή ασταθής. Τι κάνω;
Σε αυτή την περίπτωση χρειάζεται αντικατάσταση της αρθροπλαστικής. Η αναθεώρηση (revision) αποτελεί ένα ιδαίτερο κεφάλαιο στην ορθοπαιδική χειρουργική και μια από τις πιο δύσκολες και απρόβλεπτες επεμβάσεις. Η εμπειρία του χειρουργού και το σωστά μελετημένο προεγχειρητικό πλάνο αποτελούν τον ακρογωνιαίο λίθο για την επιτυχία αυτής της κατηγορίας επεμβάσεων, καθώς η αναθεώρηση γίνεται όταν σε μια προηγουμένως διενεργηθείσα αρθροπλαστική έχουν δημιουργηθεί προβλήματα:
- Χαλάρωσης του υλικού (άσηπτη χαλάρωση). Η χαλάρωση αυτή οφείλεται κατά κανόνα είτε σε φθορά των υλικών είτε σε κακή τοποθέτηση της αρθροπλαστικής.
- Σηπτικής χαλάρωσης της αρθροπλαστικής. Οφείλεται σε μόλυνση της αρθροπλαστικής από κάποιο μικρόβιο.
Η μεγάλη μας εμπειρία σε δύσκολες αναθεωρήσεις ισχίου και γόνατος από την πολυετή εργασία σε εξειδικευμένα κέντρα ολικών αρθροπλαστικών της Μεγάλης Βρετανίας και η εφαρμογή των πλέον σύγχρονων μεθόδων αποθεραπείας εγγυώνται τα καλύτερα δυνατά αποτελέσματα, με την άμεση μετεγχειρητική κινητοποίηση, την ολιγοήμερη παραμονή στην κλινική και την ταχύτατη επαναφορά του ασθενούς στις επιθυμητές καθημερινές του δραστηριότητες.
INFO!
Δημήτρης Γεωργιάννος, MD, FRCS
Γενικός Αρχίατρος – Ορθοπαιδικός Χειρουργός
Αναπληρωτής Διευθυντής Ά Ορθοπαιδικής κλινικής 424 ΓΣΝΕ
Εξειδικευμένος στην Αγγλία Χειρουργός Ισχίου- Γόνατος- Άκρου ποδός
Συνεργάτης Euromedica Γενική Κλινική Θεσσαλονίκης