*του Παύλου Ζαρογουλίδη, Πνευμονολόγου-Φυματιολόγου
Η EUROMEDICA Γενική Κλινική Θεσσαλονίκης Πρωτοπόρα στη διάγνωση και θεραπεία του καρκίνου του πνεύμονα εφαρμόζει την Τεχνολογία αιχμής, τον Ενδοβρογχικό υπέρηχο, στη διάγνωση του καρκίνου του πνεύμονα.
Για πρώτη φορά στη Βόρεια Ελλάδα ήρθε και εφαρμόζεται ο ενδοβρογχικός υπέρηχος RADIAL–ENDOBRONCHIΑL ULTRASOUND.






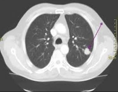
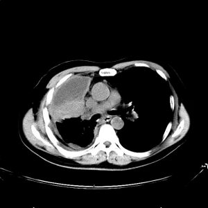
Ιδανικά παραδείγματα για τον RADIAL ΕΝΔΟΒΡΟΓΧΙΚΟ ΥΠΕΡΗΧΟ
Είναι η τελευταία λέξη της τεχνολογίας για τη βιοψία μονήρη όζου (βλάβη κάτω από 3 cm) ή μάζας στην περιφέρεια του πνεύμονα (κάτω από 3cm). Γίνεται με μέθη, όπως η γαστροσκόπηση, διαρκεί το μέγιστο 20 λεπτά και διενεργείται ταυτόχρονα και ταχεία βιοψία, οπότε εξασφαλίζεται άμεσο αποτέλεσμα.
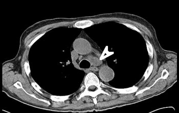
Ενδοβρογχικός υπέρηχος CONVEX–PROBE
Μια ακόμα πρωτοπόρα τεχνική για τη διάγνωση και σταδιοποίηση του καρκίνου του πνεύμονα είναι ο ενδοβρογχικός υπέρηχος CONVEX–PROBE.
Τι είναι ενδοβρογχικό υπερηχογράφημα; 3 εξετάσεις σε 1
Το ενδοβρογχικό υπερηχογράφημα είναι μια σχετικά νέα διαγνωστική τεχνική που μπορεί να χρησιμοποιηθεί για τη διερεύνηση βλαβών στους πνεύμονες ή στην περιοχή του θώρακα και μεταξύ των πνευμόνων. Πρόκειται για μια δύσκολη περιοχή για να απεικονιστεί και αυτό που κανονικά γίνεται με τη χρήση ενός συνδυασμού των ακτίνων Χ, αξονικής τομογραφίας και βρογχοσκόπησης, μπορεί να επιτευχθεί με το ενδοβρογχικό υπερηχογράφημα (τρεις εξετάσεις σε μία). Μέχρι πρόσφατα, προκειμένου να επιτευχθεί μια αξιόπιστη διάγνωση φυματίωσης, λεμφώματος, σαρκοείδωσης ή καρκίνου πνεύμονα χρειαζόταν παρακολούθηση του ασθενούς ή μια επεμβατική βιοψία στο χειρουργείο. Σήμερα μπορούμε να έχουμε μια βρογχοσκόπηση με ενδοβρογχικούς υπερήχους, όπου θα παρθούν στοχευμένα δείγματα ιστού από το σημείο της βλάβης και θα έχουμε αποτέλεσμα άμεσα από ταχεία βιοψία χωρίς να χάνουμε πολύτιμο χρόνο στη διάγνωση και αντιμετώπιση της ασθένειας. Πρόκειται για μια εξαιρετικά αξιόπιστη εξέταση που πραγματοποιείται ταχύτατα (30 λεπτά) και με ασφάλεια.


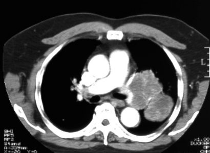
Σε ποιες περιπτώσεις μπορεί να χρησιμοποιηθεί ο ενδοβρογχικός υπέρηχος;
- Όταν η αξονική τομογραφία θώρακος αποκαλύπτει ότι ορισμένοι από τους λεμφαδένες στο κέντρο του στήθους είναι διογκωμένοι. Αυτό μπορεί να είναι ένα σημάδι του καρκίνου του πνεύμονα ή σαρκοείδωσης, φυματίωσης ή λεμφώματος.
- Χρησιμοποιείται για να βλέπει ο γιατρός τους λεμφαδένες στο κέντρο του θώρακα και να πραγματοποιήσει βιοψία στοχευμένα και με ακρίβεια. Ο γιατρός μπορεί να λάβει βιοψία από όλους τους λεμφαδένες του θώρακα με αυτή τη διαγνωστική μέθοδο.
- Η βιοψία έχει πάντα ιστό.
- Με την τεχνική αυτή δεν έχουμε τις συνήθεις παρενέργειες που έχουν άλλες διαγνωστικές τεχνικές π.χ. πνευμοθώρακας, αιμοθώρακας.
- Χρησιμοποιείται για σταδιοποίηση του καρκίνου του πνεύμονα και έτσι αποφασίζεται εμπεριστατωμένα, αν ο ασθενής πρέπει να οδηγηθεί ή όχι στο χειρουργείο.
- Μπορεί να γίνει ταχεία βιοψία για άμεσο αποτέλεσμα.
Είναι το ενδοβρογχικό υπερηχογράφημα ασφαλές;
Στην Euromedica Γενική Κλινική Θεσσαλονίκης, το ενδοβρογχικό υπερηχογράφημα (RADIAL και CONVEX), γίνεται από εξειδικευμένους πνευμονολόγους με πολυετή εμπειρία.
Δημοσιευμένες μελέτες αναφέρουν ότι μερικοί ασθενείς παρουσίασαν μια μικρή ποσότητα αιμόπτυσης μετά τη βιοψία. Άλλα προβλήματα που αναφέρονται και είναι πιθανά περιλαμβάνουν τον πονόλαιμο, τον βήχα ή τη λοίμωξη των πνευμόνων, τα στοιχεία όμως δείχνουν ότι αυτά προκύπτουν πάρα πολύ σπάνια και αντιμετωπίζονται με φαρμακευτική αγωγή.







Παραδείγματα πότε μπορεί να βοηθήσει η εξέταση (ΕBUS) στη διάγνωση

Η Euromedica Γενική Κλινική Θεσσαλονίκης διαθέτει συνεργάτες ιατρούς, ειδικούς στη διάγνωση του καρκίνου του πνεύμονα, με κλινικές μελέτες παγκοσμίως αναγνωρισμένες και δημοσιευμένες στον διεθνή ιατρικό Τύπο, που εφαρμόζουν σύγχρονες μεθόδους διάγνωσης.


Εικόνες από τη διαδίκασια της ταχείας βιοψίας μέσα στην αίθουσα ενδοσκόπησης
INFO!
Παύλος Ζαρογουλίδης, M.D, Ph.D
Πνευμονολόγος-Φυματιολόγος
Συνεργάτης Euromedica Γενική Κλινική Θεσσαλονίκης