*Του Παύλου Ζαρογουλίδη, M.D, Ph.D Πνευμονολόγου-φυματιολόγου
Υπάρχουν περισσότερες από 300 διαφορετικές ασθένειες οι οποίες ταξινομούνται ως διάμεσες πνευμονοπάθειες. Οι περισσότερες είναι πολύ σπάνιες, ωστόσο οι συνηθέστερες διάμεσες πνευμονοπάθειες περιλαμβάνουν τις:
–Σαρκοείδωση
-Ιδιοπαθή πνευμονική ίνωση
–Εξωγενή αλλεργική κυψελιδίτιδα (επίσης γνωστή ως πνευμονίτιδα εξ υπερευαισθησίας)
-Διάμεση πνευμονοπάθεια σχετιζόμενη με νόσο ρευματολογική
-Διάμεση πνευμονοπάθεια που προκαλείται από συγκεκριμένα φάρμακα, τα οποία χρησιμοποιούνται για τη θεραπεία άλλων ασθενειών.
Πού οφείλονται οι διάμεσες πνευμονοπάθειες;
Κάποιες διάμεσες πνευμονοπάθειες, ιδιαίτερα η σαρκοείδωση, επηρεάζουν και άλλα όργανα του σώματος. Ειδικοί κατατάσσουν τις διάμεσες πνευμονοπάθειες σε δύο ομάδες: σε νόσους με γνωστή αιτία και σε νόσους με άγνωστη αιτία και προέλευση.
Πώς γίνεται η διάγνωση;
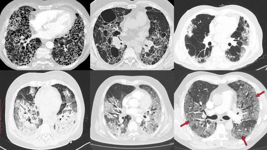
Η βασική διερεύνηση περιλαμβάνει την απεικόνιση των πνευμόνων με αξονική τομογραφία. Οι υψηλής ανάλυσης αξονικές τομογραφίες μπορούν να χρησιμοποιηθούν, για να βοηθήσουν στον καθορισμό του συγκεκριμένου τύπου διάμεσης πνευμονοπάθειας, εξετάζοντας τον τύπο και την εξάπλωση της νόσου στην απεικόνιση.
Σε προχωρημένη πνευμονική ίνωση οι πνεύμονες ενδέχεται να έχουν κυψελοειδή εμφάνιση εξαιτίας της εκτεταμένης καταστροφής κυψελίδων και της ανάπτυξης μικρών, κυστικών χώρων εντός του πνεύμονα, που μοιάζουν με μελικυρήθρα.

Οι εξετάσεις πνευμονικής λειτουργίας και τα επίπεδα οξυγόνου στο αίμα είναι πολύ σημαντικά για τη διάγνωση και παρακολούθηση της προόδου της διάμεσης πνευμονοπάθειας.
H σύγχρονη διαγνωστική προσέγγιση απαιτεί τη διάγνωση με βιοψία και ιστολογική επιβεβαίωση και διενεργείται διαβρογχική βιοψία ή η πλέον εξελιγμένη μέθοδος της κρυοβιοψίας μέσω βρογχοσκοπίου, όπου λαμβάνονται και εξετάζονται δείγματα πνευμονικού ιστού.

Ποια είναι η θεραπεία;
Η θεραπεία της διάμεσης πνευμονοπάθειας περιλαμβάνει αντιφλεγμονώδη (π.χ. στεροειδή), ανοσοκατασταλτικά και φάρμακα αντιινωτικά. Μετέπειτα στην πορεία της νόσου ενδέχεται να απαιτηθούν προγράμματα αποκατάστασης οξυγόνου και πνευμονικής λειτουργίας. Παρά τη θεραπεία, κάποιες μορφές διάμεσης πνευμονοπάθειας επιδεινώνονται προοδευτικά και ενδέχεται να απαιτηθεί μεταμόσχευση πνεύμονα.
Ποια είναι η πρόγνωση;
Οι χρόνοι επιβίωσης για διάφορες διάμεσες πνευμονοπάθειες ποικίλλουν σε μεγάλο βαθμό. Έρευνα έχει δείξει ότι η πενταετής επιβίωση μετά την πρώτη διάγνωση είναι 20% σε ασθενείς με ιδιοπαθή πνευμονική ίνωση, ενώ αυξάνεται κατά πολύ, περίπου στο 80-100%, σε ασθενείς με άλλες μορφές πνευμονίτιδας, όπως η εξ υπερευαισθησίας ή με σαρκοείδωση.
Σε κάθε περίπτωση, ο ιστός θα μας καθοδηγήσει γρηγορότερα και ασφαλέστερα στη σωστή διάγνωση, ενώ μπορεί να γίνει και μοριακός-γενετικός Έλεγχος για στοχευμένες θεραπείες. Πλέον, η κρυοβιοψία είναι άκρως απαραίτητη στην ιατρική πράξη.
INFO!
Παύλος Ζαρογουλίδης , M.D, Ph.D
Πνευμονολόγος – Φυματιολόγος
Επιστημονικά Υπεύθυνος Πνευμονολογικού Τμήματος στη Euromedica Γενική Κλινική Θεσσαλονίκης